About
Dr. Sarah A. Mess: Board-Certified Plastic Surgeon in Columbia, Maryland
Specials and Events
Loyalty Rewards Programs
Plastic Surgery Prices
Financing Options
AAAASF Certified Surgery Center
VECTRA® 3D Imaging
Videos
Procedures
Face
Facelift Surgery in Maryland
Neck Lift
alloClae™
Blepharoplasty (Eyelid Surgery)
Brow Lift
Lip Lift
Earlobe Repair
Breast Procedures
Breast Augmentation
Breast Implants in Columbia, Maryland
Fat Transfer Breast Augmentation
Breast Augmentation With Lift
Breast Lift
Breast Reduction
Breast Implant Exchange (Revision)
Breast Implant Removal
Tuberous Breast
Breast Asymmetry
Body Procedures
Tummy Tuck (Abdominoplasty)
Liposuction
Mommy Makeover
Body Contouring and Skin Removal After Weight Loss
Labiaplasty in Columbia, Maryland:
Personalized Vaginal Rejuvenation with Dr. Sarah Mess
Fat Transfer to Breast, Buttocks, Face, Hands
alloClae™
Arm Lift Surgery
Thigh Lift
Renuvion J Plasma
Liposuction Alternatives
CoolSculpting Elite
EMsculpt NEO
Feminine Wellness
Labiaplasty in Columbia, Maryland:
Personalized Vaginal Rejuvenation with Dr. Sarah Mess
diVa & diVaTyte Vaginal Laser
EMSella
Men
Male Eyelid Surgery
Male Tummy Tuck
CoolSculpting Elite
Skin Care for Men
Medical Spa
Injectables and Fillers
BOTOX Cosmetic
Dysport
Dermal Fillers
Jeuveau®
Lip Enhancement With Dermal Fillers
Lip Flip
Liquid Rhinoplasty
Liquid Facelift
Jawline & Chin Enhancement
Tear Trough Fillers
Kybella
Renuva
Fillers & Injectables Guide
Skin
UltraClear
HALO
MOXI
Virtue RF
BroadBand Light (BBL) HERO
Forever Young BroadBand Light (BBL)
ClearSilk by Sciton
ClearV®
Laser Resurfacing
LATISSE
Upneeq
Skin Care
Anti-Aging Treatment Guide
Body
Weight Loss Injections
Avéli™ Cellulite Treatment
CoolSculpting Elite
EMsculpt NEO
The EMSella Chair For Urinary Incontinence + Overactive Bladder
diVa & diVaTyte Vaginal Laser
Laser Hair Removal
Bare HR Laser Hair Removal
Photo Gallery
Breast
Breast Augmentation
Breast Lift with Augmentation
Fat Transfer to Breast
Breast Implant Replacement with Fat Transfer
Breast Implant Revision
Breast Reduction
Breast Lift
Breast Asymmetry
Breast Implant Removal
Breast Implant Removal with Lift
Gynecomastia
Body
Tummy Tuck
Mommy Makeover
Body Contouring and Skin Removal After Weight Loss
Labiaplasty
Fleur De Lis Abdominoplasty
Brachioplasty
Body Lift
Liposuction
Male Tummy Tuck
CoolSculpting
EMsculpt®
Face
Eyelid Surgery
Face and Neck Lift
Neck Liposuction
Patient Resources
Financing Options
Blog
My Patient Visit
Out-of-Town Patients: Planning Your Trip
HIPAA Statement
Book Online
Book Online
Contact Us
Virtual Consultation
Booking & Cancellation Policy
Shop
SHOP SPECIALS
Shop SkinMedica Skincare
Shop Alastin Skincare
Shop SkinBetter Skincare
(410) 910-2350
Back to Gallery
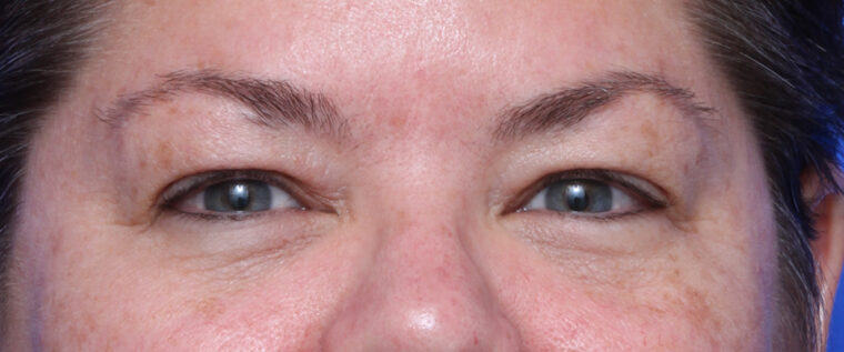
Eyelid Surgery Gallery
Gallery
|
Eyelid Surgery
Previous Case
Next Case
Case 5
Case 5
Book an Appointment
SHOP A Few Glow-Up Favorites from Home
SHOP NOW!
Dismiss
🛒
0